当前位置:首页  媒体聚焦

人民网:安医大附属阜阳医院成功实施皖北首例经超声支气管镜下放射性粒子植入术

时间:2022-07-27 浏览:1059

      7月11日,皖北首例“全麻下经超声支气管镜下放射性粒子植入术”在拉斯维加斯国际平台首页 附属阜阳医院内镜中心成功完成。这标志着该院在介入肺脏病学方面再次实现技术性跨越,填补了皖北地区该技术领域空白,也开启了该院呼吸内科微创精准治疗肺癌的新篇章。

李文利医生在超声支气管镜引导下行放射性粒子植入术。于涛供图

      患者汤先生今年75岁高龄,在安医大附属阜阳医院呼吸内科确诊为右肺鳞癌,确诊时已经有纵隔淋巴结转移,丧失了手术机会,但汤先生和家属都拒绝传统放疗、化疗。

      据介绍,原发性肺癌(简称肺癌)是我国最常见的恶性肿瘤之一,目前肺癌治疗手段主要包括:手术切除、化学治疗、介入治疗、生物治疗、中医中药治疗、放射治疗等。经综合评判,汤先生有植入放射性粒子指征,该院副院长、呼吸内科专家赵磊及祝杨主任所带领的医疗团队依据汤先生病情,详细制定了手术方案及应急预案。

超声支气管镜引导下植入粒子术中。于涛供图

      经过详细准备,7月11日,在麻醉科及内镜中心团队大力支持和配合下,呼吸内科副主任医师李文利、于涛成功为汤先生实施了全麻下经超声支气管镜下放射性粒子植入术。即在麻醉成功后经喉罩进镜,经依靠超声支气管镜定位病灶,测量病灶大小,做好术中手术规划,在超声支气管镜引导下穿刺植入放射性粒子(碘125)36粒,手术顺利,术后患者安返病房,并于术后第二天出院。

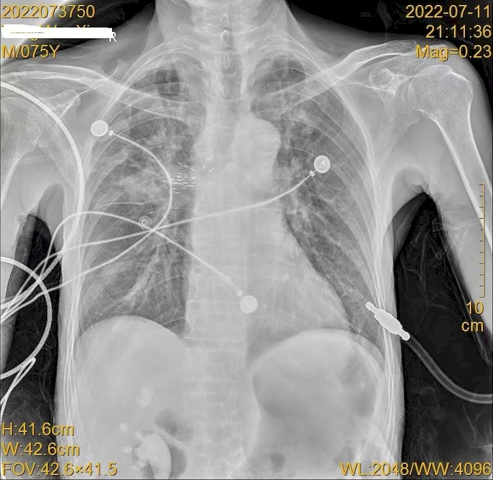
放射性粒子植入术后复查胸片查看粒子位置。于涛供图

      据赵磊介绍,放射性粒子植入治疗的全称是“放射性粒子组织间插植术”,是一种近距离放射,精确治疗肿瘤的新技术。它的原理是把微放射源在影像(CT或超声)、内镜的引导下植入肿瘤,使肿瘤得到一个高度适形、高度调强的治疗手段。它在肿瘤局部形成高剂量放疗,但肿瘤周围的脏器并不会受到伤害。医师依据事先制定的治疗计划,在影像或内镜超引导下,将放射性粒子准确植入肿瘤靶区,放射性粒子在体内持续不断发出射线,可使肿瘤接受的剂量明显增加,达到高剂量靶区适形治疗,由于是持续性低剂量率的照射,能对不同成熟度的肿瘤细胞进行不间断的照射,增加了放射生物效应,提高放疗疗效,改善气道功能,提高患者生活质量。(曹亚 于涛)

      时间:2022年07月13日

      来源:http://ah.people.com.cn/n2/2022/0713/c358325-40036274.html


Baidu
map